PhD candidate AI-based pan-cancer prediction of biomarkers from histopathology
PhD candidate ‘AI-based pan-cancer prediction of 'omics biomarkers from histopathology’
PhD candidate ‘AI-based pan-cancer prediction of 'omics biomarkers from histopathology’
We welcome good master's and bachelor's students to perform academic research in our group. We offer various projects that can be tuned to match your thesis requirements. You can also browse through our research pages to read about the different research topics of our group.
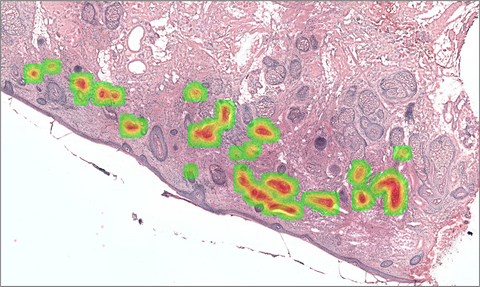
Predicting basal cell carcinoma progression from histopathology using Artificial Intelligence
Advancing clinical explainability of vision-language models through reasoning segmentation
Weakly supervised learning for automated scoring of the Monkey Neurovirulence Test (MNVT) in polio vaccine development
Development of deep learning methods for multimodal registration in prostate cancer
The positions below are closed, please do not apply. They are listed to give you an idea of the kind of positions we regularly offer.
Vacancies